Los tumores cardiacos primitivos son una entidad infrecuente, aunque no excepcional. Por suerte, el 75% de los mismos son de carácter benigno, siendo el mixoma el más frecuente, seguido por el fibroelastoma y el lipoma.
El tratamiento de elección de los tumores cardiacos benignos es la resección quirúrgica, ya que por su localización pueden suponer un serio riesgo para el paciente.
En nuestra Unidad tenemos una amplia experiencia en este tipo de cirugía, con excelentes tasas de curación (% de recidiva inferior al 5%).

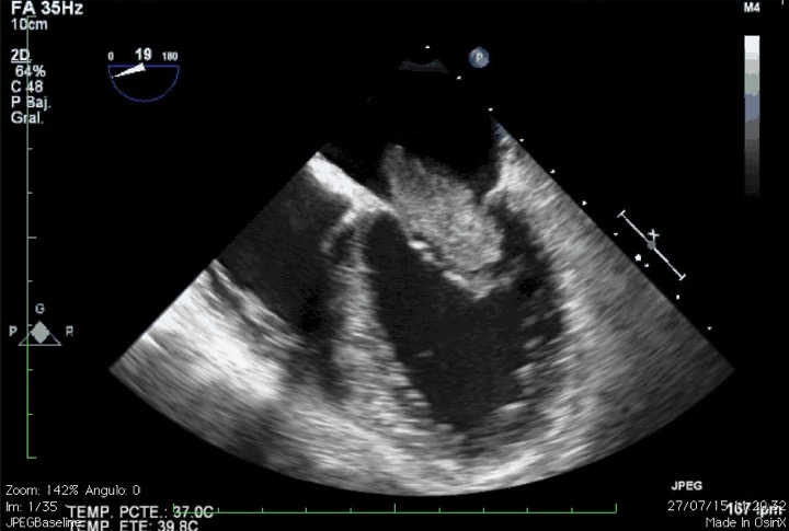
Tumor de aúrícula izquierda obstruyendo la válvula mitral. 
Resección del tumor por la aúrícula izquierda. 
Mixoma.
