Las anomalías de las arterias coronarias (AAC) son un defecto congénito raro pero potencialmente peligroso. Su prevalencia se estima en menos del 1% de la población, aunque hay estudios en los que se ha observado que entre un 0,6% y un 5,6% de los cateterismos realizados y el 1% de las autopsias demuestran la presencia de algún tipo de AAC. Son más frecuentes en varones (proporción de 3-4/1) y habitualmente se detectan en la cuarta década de la vida. Aunque la mayoría son asintomáticas y son diagnosticadas como un hallazgo casual durante una coronariografía realizada por otro motivo, pueden producir angina de esfuerzo, infarto agudo de miocardio, e incluso, arritmias ventriculares malignas que causan muerte súbita. De hecho, las AAC son la segunda causa de muerte súbita en deportistas jóvenes (15% de los casos), sólo por detrás de la miocardiopatía hipertrófica obstructiva. Las que se asocian más frecuentemente a este fatal evento son las anomalías del origen de las coronarias, especialmente cuando existe un trayecto interarterial (entre la aorta y la pulmonar) de la arteria implicada. Los mecanismos fisiopatológicos que se han relacionado con la generación de isquemia miocárdica en este contexto son al menos tres: 1) la compresión extrínseca de la arteria coronaria en el trayecto interarterial por la expansión sistólica de los grandes vasos (raíz aórtica y tronco pulmonar); 2) el hecho de que estos casos suelen presentar un ostium más angosto y estrecho con forma de hendidura, así como un ángulo exageradamente agudo entre la salida de la arteria coronaria y la aorta, lo que limita el flujo arterial; y 3) el vasoespasmo en el tramo interarterial. En muchos casos, el primer tramo de la arteria coronaria ectópica es intramural, es decir, discurre por la propia pared de la aorta, lo que incrementa notablemente el riesgo de muerte súbita.
El origen anómalo de la coronaria derecha en el seno de Valsalva izquierdo (AAORCA, anomalous aortic origin of the right coronary artery) tiene una prevalencia estimada entre el 0,05% y el 0,1%. Dado el potencial riesgo de muerte súbita, especialmente en pacientes jóvenes que realizan ejercicio, la mayoría de los autores recomiendan la corrección quirúrgica si el paciente tiene isquemia demostrada. Las opciones técnicas son básicamente tres: 1) revascularización de la coronaria derecha distal con un injerto con o sin circulación extracorpórea, 2) translocación y reimplantación del ostium al seno correcto, y 3) liberación del segmento coronario intramural (unroofing) y creación de un neo-ostium coronario al final del segmento interarterial de la arteria ectópica. Dada la rareza de la enfermedad, la experiencia acumulada y el seguimiento a largo plazo no son lo suficientemente amplios como para dar unas directrices claras en cuanto a la técnica de elección. Las técnicas de reanastomosis en la aorta son más complejas, requieren realizar una aortotomía, tienen riesgo de dañar la válvula aórtica, y suelen ser la opción preferida en pacientes pediátricos, con tejidos más elásticos. El bypass coronario es un procedimiento más estandarizado y de menos riesgo, aunque, en este caso concreto, genera dudas en cuanto a la permeabilidad del injerto por el riesgo de competencia de flujo sanguíneo desde la arteria coronaria ectópica (no obstruida en reposo). El injerto a utilizar, mamaria o vena safena, también es un tema de debate. La primera tiene la ventaja de tener una mayor permeabilidad a largo plazo, pero hay quien apuesta por la safena porque es menos sensible al flujo competitivo, al menos inicialmente. El ligar la coronaria derecha en origen al mismo tiempo que se hace el bypass puede incrementar su permeabilidad, pero tiene el riesgo de desarrollar síndrome de hipoperfusión, isquemia grave y fracaso de ventrículo derecho, al no ser el flujo inicial del injerto comparable al de la coronaria nativa.

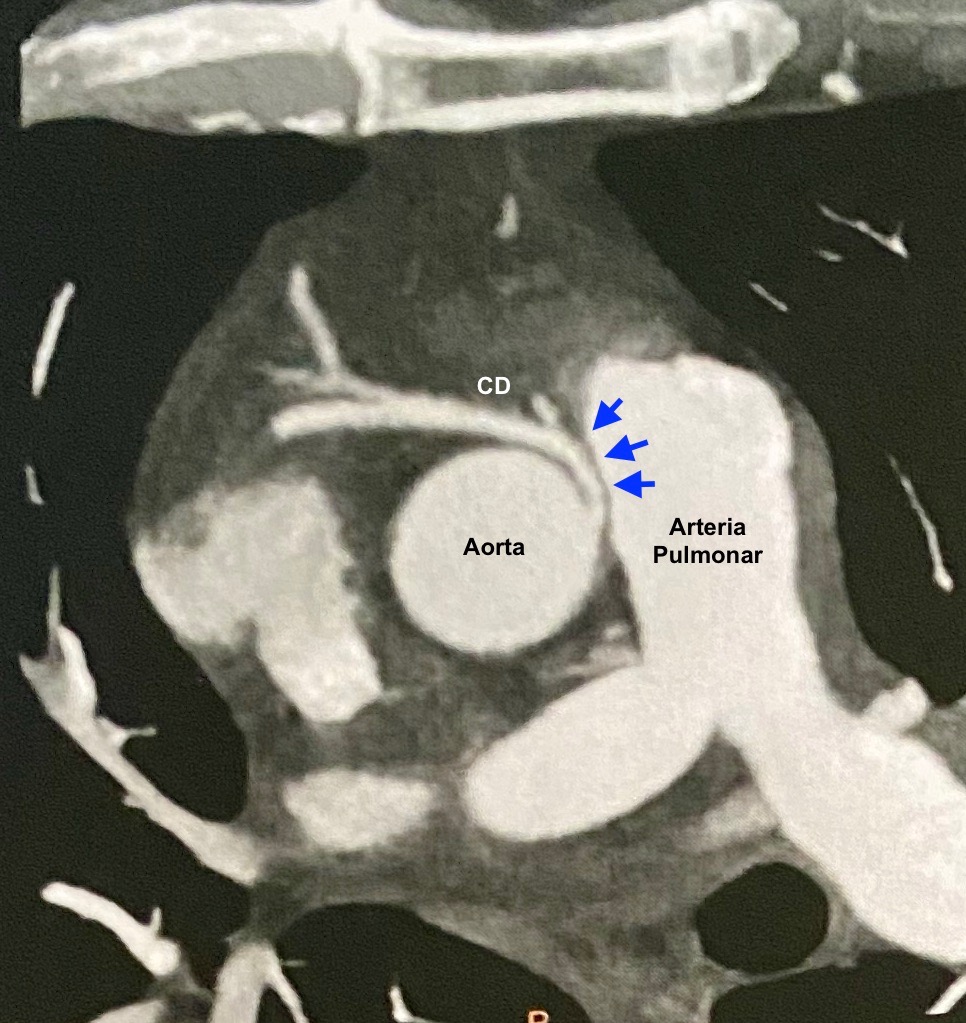
Presentamos el caso de un varón de 67 años de edad y múltiples factores de riesgo cardiovascular (dislipémico, diabético y exfumador), que acude a su cardiólogo del Hospital Vithas Pardo de Aravaca por dolor retroesternal al subir cuestas con sensación de taquicardia acompañante, que cedía con le reposo. La ergometría fue clínicamente positiva al presentar angina desde el minuto 2 de ejercicio. En el TAC de coronarias se objetivó el nacimiento anómalo superior de la coronaria derecha en el seno de Valsalva izquierdo, muy cerca a la unión con el seno derecho, existiendo un trayecto interarterial. Además, tanto la descendente anterior como la circunfleja presentaban placas no significativas del 30% y 40%, respectivamente.


El paciente fue intervenido quirúrgicamente realizándose un bypass coronario de arteria mamaria interna derecha (RIMA) a la coronaria derecha media. El postoperatorio transcurrió sin complicaciones y actualmente, 3 meses después de la cirugía, está asintomático y realiza vida normal.
Bibliografía: Surgical Techniques for the Treatment of Anomalous Origin of Right Coronary Artery From the Left Sinus: A Comparative Review. Lara Gharibeh, Kenza Rahmouni, Seok Joon Hong, et al. Journal of the American Heart Association. 2021;10:e022377.


Bueno algo he entendido.
Enviado desde Yahoo Mail con Android
Me gustaMe gusta